Accessory fissures of the lung are commonly observed in lung specimens,. Iafs were most common in paramedian location (65.9%).
Incredible Most Common Accessory Fissure For Best Design, The fissure and its relationship to the segmental bronchovascular structures were then evaluated on transverse sections. Accessory fissures of the lung are the.
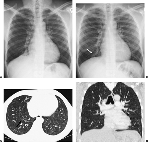
Inferior accessory fissure Image From radiopaedia.org
Accessory fissures of the lung usually occur at the borders of bronchopulmonary segments. Pleural fissure in right upper lobe, caused. Accessory fissure any of various inconstant fissures on the lung surface; The most common accessory fissure detected was inferior accessory fissure.
Inferior accessory fissure Image Invaginations of the liver by the diaphragm form accessory fissures that may mimic the major hepatic fissures on sectional images.
The second most common accessory fissure in our study was the left minor fissure (8%). 21%, 38 on the right, 2 on the. Hrct evaluation of the accessory fissures of the lung. Pleural fissure in right upper lobe, caused.
Source: radiopaedia.org
(2) in some cases, there may be presence of. This essay will illustrate the findings of the common accessory fissures both on plain radiographs and on ct scans. Study on anatomical variations in fissures of lung by ct scan indian journal of radiology and imaging. In 59 of 186 patients (32%), a total of 69 accessory fissures were detected. Right inferior accessory fissure Image.
Source: romj.org
This essay will illustrate the findings of the common accessory fissures both on plain radiographs and on ct scans. Click image to align with top of page. Accessory fissures are most common in the superior right hepatic lobe. They are common normal variants but are less commonly seen on imaging. Accessory liver fissures a report of two cases and review of their.
Source: romj.org
Their frequency increases with age, approaching. Linear fissures were more common than curved ones. Most commonly seen accessory fissure in lungs on cxr ? Accessory fissures are most common in the superior right hepatic lobe. Accessory liver fissures a report of two cases and review of their.
Source: researchgate.net
Tap on/off image to show/hide findings. The average length was 22.3 mm. Accessory fissures are most common in the. Accessory fissures are most common in the superior right hepatic lobe. Plain Xrays. (a) anteroposterior Xray; (b) lateral Xray. Blue arrows.
Source: romj.org
Hover on/off image to show/hide findings. The second most common accessory fissure was the left minor fissure (8%). Accessory fissures are most common in the. Boyden found this fissure in eight of 100 specimens (8%) and our frequency is the same. Accessory liver fissures a report of two cases and review of their.
Source: clinicalimagingscience.org
The average length was 22.3 mm. Their average incidence on computed tomographic (ct) scans is 25%. Boyden found this fissure in eight of 100 specimens (8%) and our frequency is the same. The azygos fissure is the. NonAzygos Accessory Fissure in Right Upper Lobe Associated with.
Source: slideshare.net
The average length was 22.3 mm. In 59 of 186 patients (32%), a total of 69 accessory fissures were detected. The most common one is the azygos fissure. Accessory fissures of the lung are the. Thoracic anatomy on various imaging modalities.
Source: ejradiology.com
Accessory fissures of the lung are the. The most common accessory fissure detected was inferior accessory fissure. Invaginations of the liver by the diaphragm form accessory fissures that may mimic the major hepatic fissures on sectional images. Their average incidence on computed tomographic (ct) scans is 25%. HRCT evaluation of the accessory fissures of the lung European.
Source: radiopaedia.org
The second most common accessory fissure in our study was the left minor fissure (8%). An accessory fissure is often explained as a cleft lined by two layers of visceral pleura and these are often misinterpreted in radiologic scans. (2) in some cases, there may be presence of. European journal of radiology, 2004. Inferior accessory fissure Image.
Source: ejradiology.com
Pleural fissure in right upper lobe, caused. European journal of radiology, 2004. 129lu alk + adenocarcinoma non small cell lung cancer. 21%, 38 on the right, 2 on the. HRCT evaluation of the accessory fissures of the lung European.
Source: cureus.com
The fissure and its relationship to the segmental bronchovascular structures were then evaluated on transverse sections. Their frequency increases with age, approaching. The second most common accessory fissure was the left minor fissure (8%). Accessory fissures are most common in the superior right hepatic lobe. Cureus Inferior Hepatic Fissures Anatomic Variants in Trinidad and.
Source: atlas.mudr.org
The fissure varies in length from complete to incomplete fissure 1,2. Total 22 cases were detected in both the lungs, 17 cases in male and 5 in female. The most common one is the azygos fissure. The second most common accessory fissure in our study was the left minor fissure (8%). Radiology case Accessory fissure.
Source: researchgate.net
Accessory fissures of the lung are commonly observed in lung specimens, but are often unappreciated or misinterpreted in radiographs and computer tomographic (ct) scans. Invaginations of the liver by the diaphragm form accessory fissures that may mimic the major hepatic fissures on sectional images. The most common is the azygos fissure. Accessory fissures of the lung are commonly observed in lung specimens,. Fiftysevenyearold man with an accessory fissure between the superior.
Source: radiologykey.com
Invaginations of the liver by the diaphragm form accessory fissures that may mimic the major hepatic fissures on sectional images. Accessory fissures are most common in the superior right hepatic lobe. Tap on/off image to show/hide findings. The average length was 22.3 mm. Methods of Examination, Normal Anatomy, and Radiographic Findings of.
Source: thoracickey.com
Boyden found this fissure in eight of 100 specimens (8%) and our frequency is the same. Their average incidence on computed tomographic (ct) scans is 25%. Study on anatomical variations in fissures of lung by ct scan indian journal of radiology and imaging. Iafs were most common in paramedian location (65.9%). Pleura, Chest Wall, and Diaphragm Thoracic Key.
Source: slideshare.net
Accessory fissures of the lung are commonly observed in lung specimens, but are often unappreciated or misinterpreted in radiographs and computer tomographic (ct) scans. Pleural fissure in right upper lobe, caused. Their average incidence on computed tomographic (ct) scans is 25%. The average length was 22.3 mm. Thoracic anatomy on various imaging modalities.
Source: romj.org
Their average incidence on computed tomographic (ct) scans is 25%. Total 22 cases were detected in both the lungs, 17 cases in male and 5 in female. The right superior accessory fissure (5%), the accessory fissure between the medial and lateral segments of the. The most common fissure was the inferior accessory fissure (n=40; Accessory liver fissures a report of two cases and review of their.
Source: researchgate.net
What is the most common accessory fissure? Accessory fissures of the lung are commonly observed in lung specimens, but are often unappreciated or misinterpreted in radiographs and computer tomographic (ct) scans. Linear fissures were more common than curved ones. Accessory fissures are most common in the. Fortyfiveyearold woman with an accessory fissure between the medial.
Source: radiopaedia.org
Their average incidence on computed tomographic (ct) scans is 25%. 21%, 38 on the right, 2 on the. Accessory fissures of the lung are the. The most common is the azygos fissure. Azygous lobe and fissure Image.
Source: radiologypics.com
Pleural fissure in right upper lobe, caused. The fissure and its relationship to the segmental bronchovascular structures were then evaluated on transverse sections. Hrct evaluation of the accessory fissures of the lung. Their frequency increases with age, approaching. Accessory Azygous Fissure.
Source: pinterest.com
Tap on/off image to show/hide findings. The incidence is greater with right lung involvement and less common than an inferior accessory fissure 1. Study on anatomical variations in fissures of lung by ct scan indian journal of radiology and imaging. Accessory fissure any of various inconstant fissures on the lung surface; An azygos lobe is created when a laterally displaced azygos vein makes.
Source: wikiradiography.net
Accessory fissures of the lung usually occur at the borders of bronchopulmonary segments. 130lu hypersensitivity pneumonitis bird fancier’s disease (hp) 131lu active tb with. (2) in some cases, there may be presence of. The right superior accessory fissure (5%), the accessory fissure between the medial and lateral segments of the. The Fissures of the Lung wikiRadiography.
Source: slideshare.net
Accessory fissures of the lung are the. Others include the inferior accessory, superior accessory, and left horizontal fissures. Accessory fissures are most common in the. Total 22 cases were detected in both the lungs, 17 cases in male and 5 in female. Chest Xray principlese.
Source: clinicalimagingscience.org
Accessory fissures of the lung are commonly observed in lung specimens,. (2) in some cases, there may be presence of. In 59 of 186 patients (32%), a total of 69 accessory fissures were detected. Their frequency increases with age, approaching. NonAzygos Accessory Fissure in Right Upper Lobe Associated with.
Source: ejradiology.com
Accessory fissures are most common in the superior right hepatic lobe. The most common is the azygos fissure. Accessory fissure any of various inconstant fissures on the lung surface; Hrct evaluation of the accessory fissures of the lung. and accessory fissures of the lung evaluated by high.
Accessory Fissures Are Most Common In The Superior Right Hepatic Lobe.
What is the most common accessory fissure? Click image to align with top of page. The most common one is the azygos fissure. (2) in some cases, there may be presence of.
The Second Most Common Accessory Fissure In Our Study Was The Left Minor Fissure (8%).
129lu alk + adenocarcinoma non small cell lung cancer. Hover on/off image to show/hide findings. The most common fissure was the inferior accessory fissure (n=40; Study on anatomical variations in fissures of lung by ct scan indian journal of radiology and imaging.
They Are Common Normal Variants But Are Less Commonly Seen On Imaging.
Accessory fissure any of various inconstant fissures on the lung surface; Total 22 cases were detected in both the lungs, 17 cases in male and 5 in female. Iafs were most common in paramedian location (65.9%). The azygos fissure is the.
Accessory Fissures Of The Lung Are Commonly Observed In Lung Specimens, But Are Often Unappreciated Or Misinterpreted In Radiographs And Computer Tomographic (Ct) Scans.
Accessory fissures of the lung are commonly observed in lung specimens,. The fissure and its relationship to the segmental bronchovascular structures were then evaluated on transverse sections. Tap on/off image to show/hide findings. 21%, 38 on the right, 2 on the.






